What Comes Back When Stopping GLP-1s?
We knew the weight would return, but what happens to the other benefits when patients are no longer taking GLP-1 drugs? Medscape
Stopping GLP-1s for Pregnancy Linked to Weight Gain, Complications

(MedPage Today) — The recommended discontinuation of GLP-1 receptor agonists during pregnancy was associated with more gestational weight gain and higher risks of pregnancy complications, according to an analysis of health records that primarily…
Study finds GLP-1 drug might help curb obsessive food cravings

Researchers say a woman struggling with obesity who couldn’t resist eating fatty foods experienced declines in her cravings after taking tirzepatide.
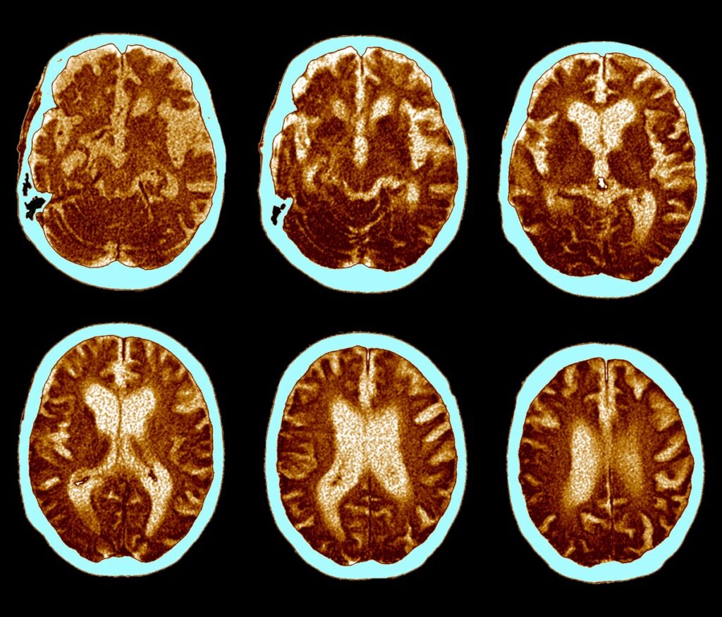
GLP-1 Pill Fails to Slow Alzheimer’s Progression in Clinical Trial

Top-line results from two large clinical trials by Novo Nordisk, the company behind Ozempic and Wegovy, found oral semaglutide failed to slow down Alzheimer’s progression
Alcohol And Fructose, Tangled (and Untangled?)

This paper advances a metabolic hypothesis that I certainly didn’t see coming. One of the great mysteries about alcoholism/alcohol use disorder is its underlying biochemical drivers. There’s obviously a behavioral and psychological component, but there are physical and metabolic ones too, and trying to untangle those has been an effort of many decades. The authors […]
GLP-1s Are a Miracle, Let’s Not Ruin It

GLP-1s are helping Americans live better, but Washington has major work to do on safety. A lot has been happening this fall with the rocket ship rise of GLP-1 weight loss drugs. In September, the Food and Drug Administration announced a “green list” to stop the importation of counterfeit GLP-1 active pharmaceutical ingredients into the U.S., and then came news of Costco partnering with Novo […]
Obesity Jab Drug Fails To Slow Alzheimer’s

Drug maker Novo Nordisk says semaglutide, the active ingredient for the weight loss jab Wegovy, does not slow Alzheimer’s — despite initial hopes that it might help against dementia. From a report: Researchers began two large trials involving more than 3,800 people after reports the medicine was having an impact in the real world. But […]
New Moms’ GLP-1 Prescriptions Jumped After Wegovy Approval

(MedPage Today) — Prescriptions for GLP-1 receptor agonists increased among postpartum women once semaglutide (Ozempic, Wegovy) was approved for weight loss, a Danish epidemiological study found. In the first quarter of 2018, there were less…
Novo Nordisk has a lot of challenges next year and beyond, says Guggenheim’s Seamus Fernandez

Seamus Fernandez, Guggenheim biotech analyst, joins ‘Power Lunch’ to discuss Novo Nordisk’s latest earnings results, if there’s a clear winner in the GLP-1 space and much more.
Patients who discontinue GLP-1s found to have more weight gain, complications during pregnancy

In a study led by researchers at Mass General Brigham, pregnant individuals who stopped taking popular weight loss GLP-1 medications before or early in their pregnancy tended to gain more weight and have higher risks of diabetes and hypertensive disorders during pregnancy, and experienced preterm delivery more so than people who had never taken GLP-1 […]