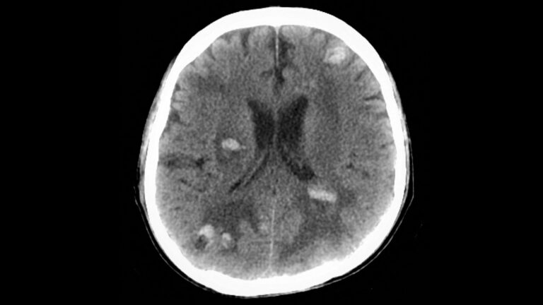
GLP-1 Drugs May Benefit Cancer Patients With Brain Lesions

(MedPage Today) -- GLP-1 receptor agonist use was associated with a lower risk of death in cancer patients with brain metastases and type 2 diabetes, a retrospective cohort study found.
Within 3 years of a first recorded brain metastasis, patients...







