What’s the difference between Ozempic, Wegovy, other weight loss drugs?

Medications, including some created to treat diabetes, are becoming increasingly popular for their ability to support weight loss. Among these are several drugs that belong to a class known as GLP-1 receptor agonists. While they share similarities, there are differences, particularly in the drugs semaglutide and tirzepatide. Semaglutide, the active ingredient in Ozempic and Wegovy, […]
Novo Cuts Outlook, Pledges Crackdown On Copycat Obesity Drugs

Novo Cuts Outlook, Pledges Crackdown On Copycat Obesity Drugs Novo Nordisk shares surged as much as 6.5% in European trading, making it a top performer on the Stoxx 600, as Wall Street analysts said the Danish drugmaker’s guidance cut was largely priced in—and pressures on Wegovy sales from compounded anti-obesity drugs may soon ease. Investor sentiment was […]
Draft FDA Guidance – Obesity and Overweight: Developing Drugs and Biological Products for Weight Reduction – Guidance for Industry

Released: January 7, 2025Level 1 GuidanceDraft This draft guidance document from the U.S. Food and Drug Administration (FDA) outlines recommendations for the development of drugs and biological products intended for weight reduction and maintenance in both adult and pediatric patients with obesity or overweight and related comorbidities. It provides information on clinical trial design, including subject populations, trial size and duration, and the assessment […]
The 25 priciest drug classes for hospitals

The most expensive drug category for nonfederal hospitals in 2024 were antineoplastic targeted agents, according to a study published in the American Journal of Health-System Pharmacy. The report, published by the American Society of Health-System Pharmacists, found that U.S. drug spending rose 10.2% in 2024 to $805.9 billion, driven largely by the increasing use of […]
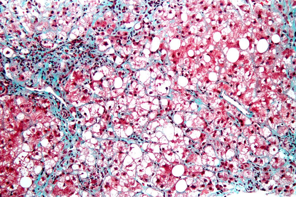
GLP-1–Receptor Agonist for Metabolic Dysfunction–Associated Steatohepatitis

In a randomized trial, semaglutide had favorable effects on steatohepatitis and fibrosis in liver biopsies.
Wegovy Pill Under Review; FDA Lifts Obesity Trial Clinical Hold; SGLT2s and Surgery

(MedPage Today) — The FDA will decide whether to approve a once-daily, 25 mg oral formulation of semaglutide (Wegovy) by the end of 2025. If approved, it would be the first GLP-1 pill indicated for obesity, said maker Novo Nordisk. The rate of…
GLP-1 Drugs Don’t Raise Postoperative Aspiration Pneumonia Risk, Study Finds

In 2023, the American Society of Anesthesiologists recommended discontinuing glucagon-like peptide-1 (GLP-1) receptor agonists before surgery over concerns about increased risk of aspiration pneumonia. But a study recently found no significant difference in postoperative aspiration pneumonia incidence between GLP-1 users and nonusers.